Dentalmikroskop
Das Dentalmikroskop - in der modernen Endodontie unverzichtbar
Man sieht nur mit dem Herzen gut. Das Wesentliche ist für die Augen unsichtbar.
Antoine de Saint-Exupéry
In der Endodontie gilt: Ohne optimale Sicht keine exakte Behandlung!
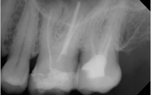
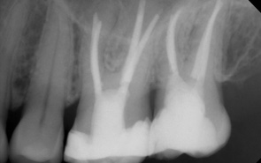
Weil es bei der Wurzelbehandlung um sehr kleine Größenverhältnisse geht, hat sich das Dentalmikroskop als Hilfsmittel durchgesetzt. Dies bedeutet, das die gesamte Wurzelbehandlung durch den ausgebildeten Spezialisten bei 10 - 30 facher optischer Vergrößerung durchgeführt wird. Zusätzlich kommt eine spezielle Beleuchtung zum Einsatz.
Das Dentalmikroskop wurde vor 10 bis 15 Jahren noch von wenigen "Pionieren" bei Wurzelbehandlungen und Wurzelspitzenresektionen eingesetzt. Die Behandlungserfolge damit waren aber so überzeugend, dass schrittweise die gesamte moderne Endodontie diesen Weg beschritten hat.
Die wichtigsten Pluspunkte
- Das Dentalmikroskop macht Wurzelkanäle für den Zahnarzt sichtbar, die ohne Mikroskop nicht zu sehen und deshalb auch nicht zu behandeln sind.
- Es können Präparationen durchgeführt werden, bei denen das zu entfernende Material schwer von der gesunden Zahnsubstanz zu unterscheiden ist (z.B. bei Glasfaserstiften).
- Es können Perforationen (kleine "Durchbrüche") in Zahnwurzeln festgestellt und behandelt werden.
Erfahren Sie weitere Vorteile des Dentalmikroskops
- Mikroskopische Risse in der Zahnoberfläche als Ursache von Infektionen werden sichtbar
- Die invasive Befundaufnahme, z.B. von Dentinrissen, wird möglich.
- Das Auffinden und die Entfernung von frakturierten Instrumenten wird wesentlich erleichtert.
- Wurzelspitzenresektionen werden deutlich präziser, Wunden bleiben viel kleiner und heilen schneller
- Auch bei der Kariesentfernung kann besonders a-traumatisch gearbeitet werden, also schonend für die gesunde Zahnsubstanz.





