Fallbeispiele Endodontie
Hier sehen Sie einige erfolgreiche Endodontie Fallbeispiele
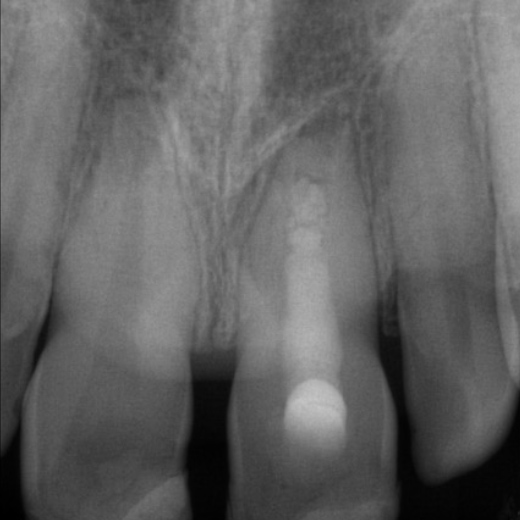
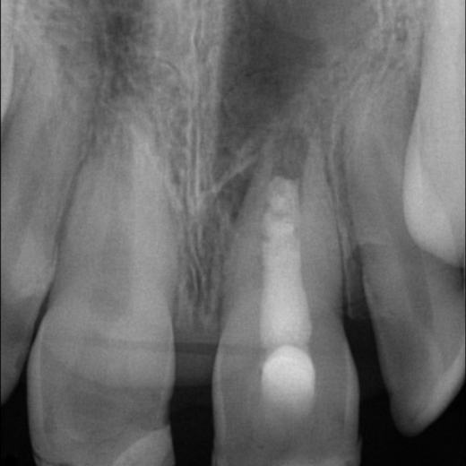
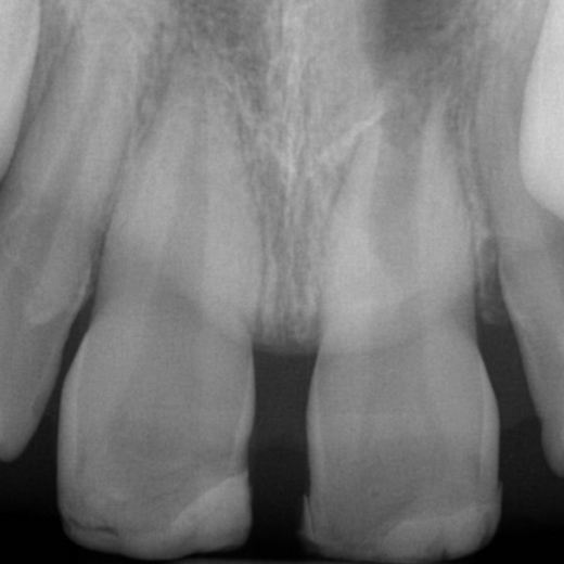
Fallbeispiel: Frontzahntraumata-Trauma im Alter von 9 Jahren mit Recall nach 22 Monaten
Frontzahntraumata sind im Kinder- und Jugendalter nicht selten. Bei noch nicht abgeschlossenem Wurzelwachstum können solche Zähne erfolgreich mit einer Revaskularisation behandelt und erhalten werden.
Fallbeispiel: Revision 46 (und 45) Recall 6 Monate
Bringt eine Wurzelkanalbehandlung nicht den gewünschten Erfolg, bedeutet dies nicht, dass ein Zahn nicht mehr zu erhalten ist. Mit einer Revisionsbehandlung können auch bereits wurzelkanalbehandelte Zähne langfristig erhalten werden!
Fallbeispiel: Revision 45 nach Wurzelspitzenresektion (WSR) Recall 30 Monate
Auch Zähne, die bereits eine Wurzelspitzenresektion erhalten haben, können erfolgreich mit einer Revision behandelt werden.
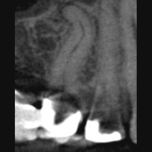
Fallbeispiel: Zahn 15 mit starker Krümmung
Jeder Zahn ist einzigartig – in diesem Fall zeigte sich Zahn 15 mit einer starke Wurzelkrümmung. Trotz der starken Krümmung konnte eine Wurzelkanalbehandlung durchgeführt werden und somit auch die Brücke erhalten werden.
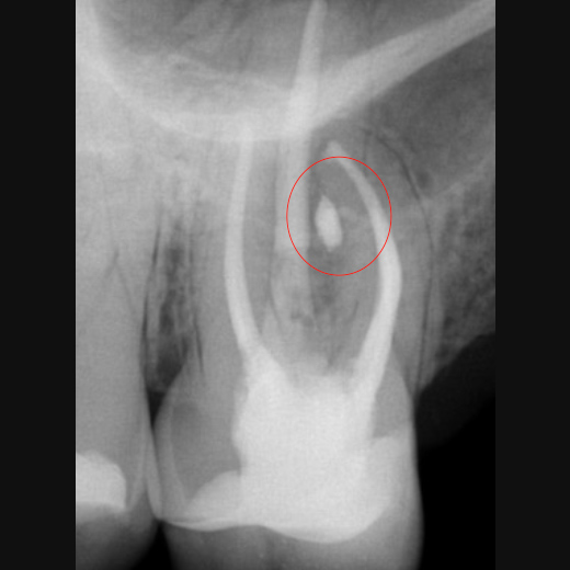
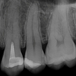
Fallbeispiel: Molarenrevision mit Seitenkanal
Werden im Rahmen einer Wurzelkanalbehandlung nicht alle Bereiche innerhalb des Wurzelkanalsystems ausreichend gereinigt, kann es zu persistierenden Infektionen kommen. In diesem Fall war die persistierende Infektion auf einen feinen Seitenkanal zurückzuführen – mit einer Revisionsbehandlung und gründlicher Reinigung des Wurzelkanalsystems können auch solche persistierenden Infektionen erfolgreich behandelt werden!
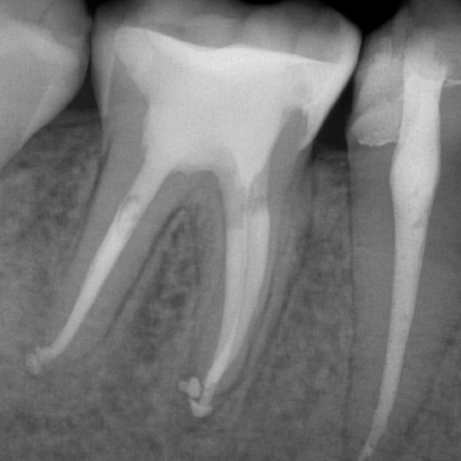
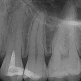
Fallbeispiel: Zahn 14 mit 3 Kanälen
Unbehandelte Wurzelkanäle – eine der häufigsten Ursachen für persistierende Infektionen nach einer Wurzelkanalbehandlung. Mit einer Revisionsbehandlung können unbehandelte Kanäle behandelt und der Zahn erhalten werden.
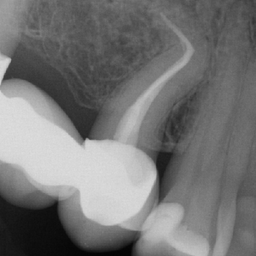
Fallbeispiel: Extraorale Wurzelspitzenresektion (WSR)
Perforationen bei einer Wurzelkanalbehandlung: Ist der Zahn noch zu retten?
Die Wurzelkanalbehandlung ist eine Therapiemöglichkeit, die höchstes Feingefühl erfordert und nicht immer läuft alles reibungslos. So kann es zu sogenannten iatrogenen Perforationen kommen: Das sind unbeabsichtigte Durchlöcherungen des Zahns, die zu unnatürlichen Verbindungen zwischen dem Wurzelkanalsystem und umliegenden Strukturen der Mundhöhle führen. Dadurch können Bakterien und Speichel in den Zahn eindringen, wodurch die Erfolgschancen der Behandlung verringert werden. Dies kann dazu führen, dass der Zahn gezogen werden muss.
Es gibt mehrere Möglichkeiten, Perforationen zu diagnostizieren:
So können z. B. 3D-Röntgenaufnahmen angefertigt und/oder mittels eines sog. Apex-Locators elektronische Kanallängenmessungen durchgeführt werden. Des Weiteren kann der Zahn mithilfe eines Dentalmikroskops inspiziert werden.
Bei der Perforation handelt es sich um die zweithäufigste Komplikation bei der Wurzelkanalbehandlung, doch in vielen Fällen stellt sie kein unlösbares Problem dar. Eine mögliche Abdeckung ist dabei stark von der Größe, Form und Lage der Perforation abhängig. Dabei gilt: Je kleiner und punktförmiger die Läsion, desto besser sind die Chancen, sie erfolgreich abzudichten. Zudem gibt es eine kritische Zone, in der Perforationen die schlechteste Prognose haben. Diese liegt im Bereich zwischen der Zahnfleischoberfläche und dem Beginn des Kieferknochens. Allerdings können eine kieferorthopädische Extrusion des Zahns oder eine chirurgische Kronenverlängerung zu einer erfolgreichen Behandlung dieser ungünstig liegenden Perforationen führen. Auch die Eigenschaften des Wurzelkanals selbst sowie der Zeitpunkt des Auftretens ist von Bedeutung.
Der wichtigste Garant für den Erfolg der Wurzelkanalbehandlung ist natürlich das Vermeiden von Perforationen. Kommt es dennoch dazu, dann gilt es schnell zu handeln: Die Perforation sollte schnellstmöglich mit einem geeigneten Füllmaterial wie MTA verschlossen werden. MTA (Mineral Trioxid Aggregat) zeichnet sich durch eine hohe Biokompatibilität und Dichtigkeit aus.
Es handelt sich hierbei um einen hochreinen, sehr feinen, modifizierten Portlandzement. Es besteht aus, wie der Name schon vermuten lässt, verschiedenen Oxidverbindungen, die in Anwesenheit von Wasser eine gelartige Konsistenz annehmen, mit einem sehr basischen pH-Wert von 12,5.
Aufgrund der gelartigen Konsistenz lässt sich das Material gut verarbeiten. Der hohe pH-Wert wirkt zudem antimikrobiell und trägt somit zum Vermeiden einer Infektion des Wurzelkanalsystems bei. Die Entwicklung dieses Präparats stellt einen Durchbruch in der Behandlung von Perforationen dar.
Alternativpräparate haben sich durch ihren meist hydrophoben Charakter als ungeeignet für die Perforationsabdeckung erwiesen. Mehrere Studien, die über die Jahre hinweg geführt wurden, zeigen mit einheitlichen Ergebnissen, dass der Einsatz von MTA in ca. 90 % der Fälle zu langfristig erfolgreich versiegelten Perforationen mit vollständiger Abheilung der Läsionen führen.
Zusammenfassend kann man sagen, dass die Lokalisation der Perforation außerhalb der kritischen Zone und der schnelle Verschluss mit einem geeigneten Material wie MTA die Chancen auf eine vollständige Heilung und somit den Erhalt des Zahns maßgeblich erhöhen. Wir legen großen Wert darauf, unsere Patienten vollständig aufzuklären und gemeinsam die beste Lösung für Ihre Zähne zu finden.
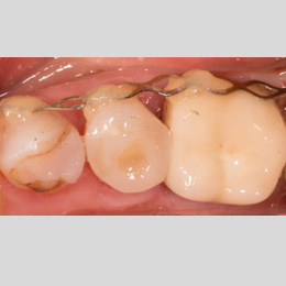
Fallbeispiel: Vollständige Pulpotomie






